PTSI Services Hero
What We Offer

OUR SERVICES

PTSI is committed to treating all Filipinos with active TB. From detection to treatment, education to training, PTSI proactively complements the government's National Tuberculosis Control Program to help end TB in the Philippines.

Directly-Observed Treatment Short-Course (DOTS) or Tutok-Gamutan

SCREENING
Consultations with Physician

Consultations with Physician

Expert medical consultation for TB diagnosis and treatment planning

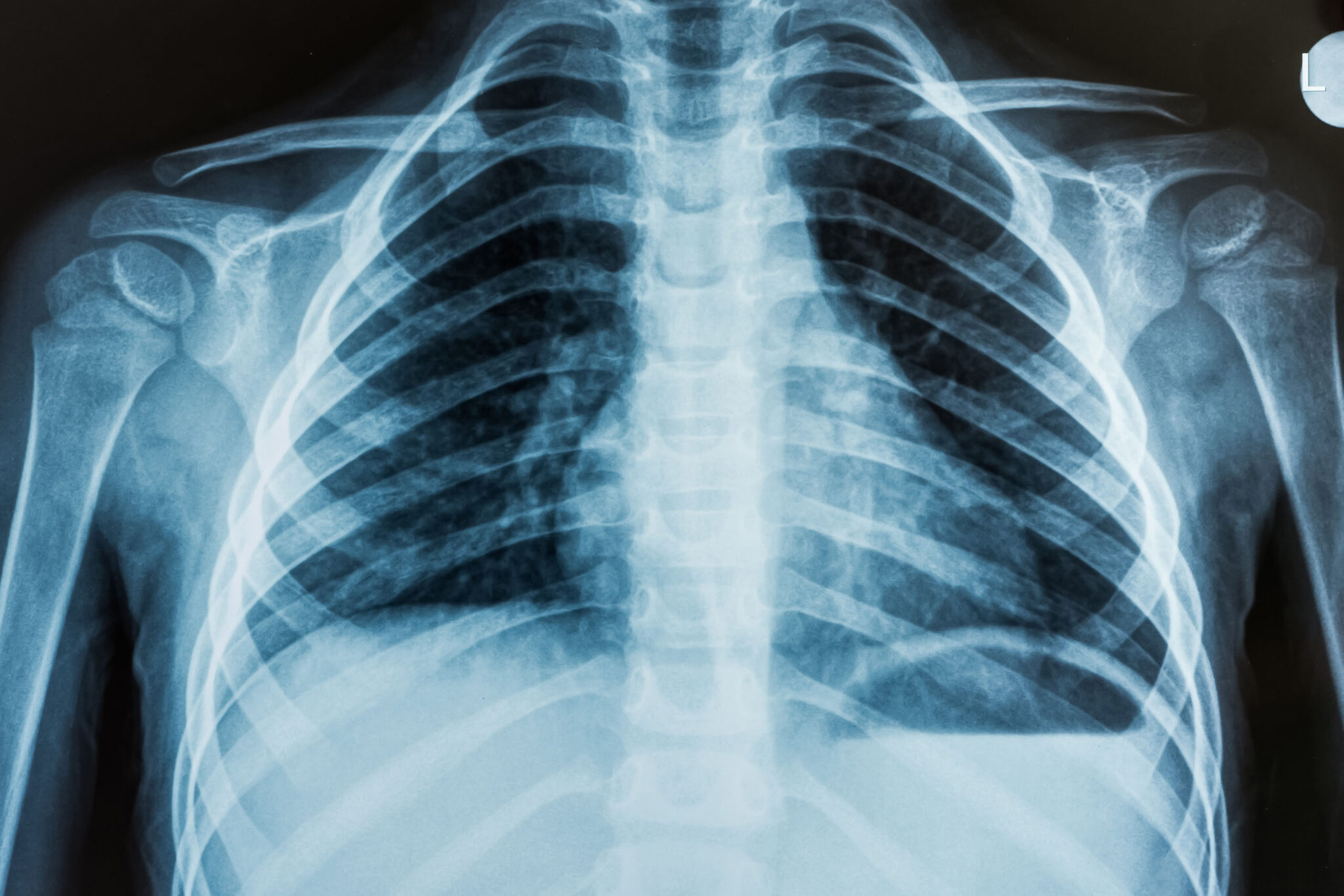
IMAGING
Chest X-ray

Chest X-ray

Comprehensive chest imaging for accurate TB detection

TESTING
GeneXpert Testing

GeneXpert Sputum Examination

Advanced molecular testing as part of TB screening

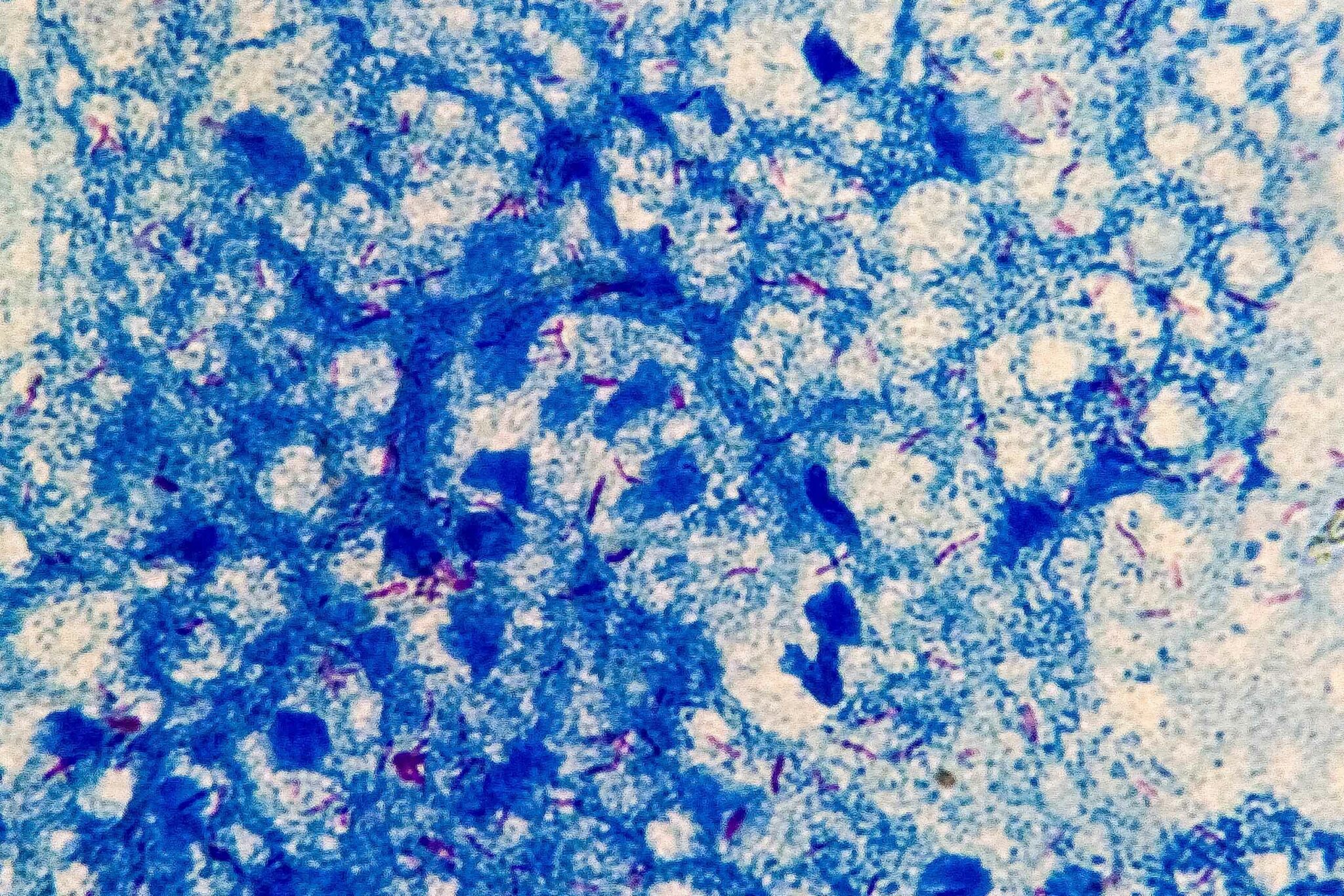
MONITORING
Laboratory Testing

Direct Sputum Smear Microscopy (DSSM)

Regular monitoring throughout TB treatment

TREATMENT
TB Treatment

TB Treatment and Monitoring

Complete 6-month treatment course with continuous monitoring

PATIENT-CENTERED

Patient-centered Services

All DOTS services are highly accessible, acceptable and affordable to ensure every Filipino has access to quality TB care

Other Services

Beyond DOTS, PTSI offers comprehensive community-based programs to prevent, detect, and control TB across the Philippines.

COMMUNITY
Community Outreach

Community Outreach Program Education (COPE) Initiative

Bringing TB awareness and education directly to communities through targeted outreach programs and health campaigns.

SCREENING
Active Case Finding

Active Case Finding Activities

Proactive TB screening and detection programs conducted per barangay to identify and treat cases early.

TRAINING
Healthcare Training

Education and Training Programs

Comprehensive training programs for healthcare workers to enhance TB diagnosis, treatment, and management capabilities.

PTSI Medical Consultation
FIND A CLINIC

Get the Care You Need

Visit any of our PTSI clinics nationwide for accessible TB screening, consultation, and treatment. Quality healthcare is within your reach.